
Patients with dental implants supporting fixed restorations should expect to spend more time and money to maintain them over a 10-year period, according to research recently published in the Clinical Implant Dentistry and Related Research.
Depending on complications, patients may resolve problems in an appointment or two and pay roughly 9% of the initial cost of implant treatment, the authors wrote.
"Additional regular maintenance costs and costs due to the treatment of potential complications have to be taken into consideration when placing dental implants," wrote the authors, led by Miha Pirc of the University of Zurich Center for Dental Medicine in Switzerland (Clin Implant Dent Relat Res, October 13, 2024).
This randomized controlled clinical trial, conducted at the University of Zurich's Clinic for Reconstructive Dentistry, included 64 adult patients age 18 and older. Patients underwent regular maintenance and were examined at loading, and at one, three, five, eight, and 10 years. Implants were placed between February and December 2009.
Implants were generally placed at the bone crest level, though some required deeper placement for prosthetic reasons. Guided bone regeneration (GBR) was performed if fenestration or dehiscence occurred, using xenogeneic or synthetic bone substitutes and collagen membranes. Screw-retained or cemented restorations were chosen based on clinical needs and clinician preference, they wrote.
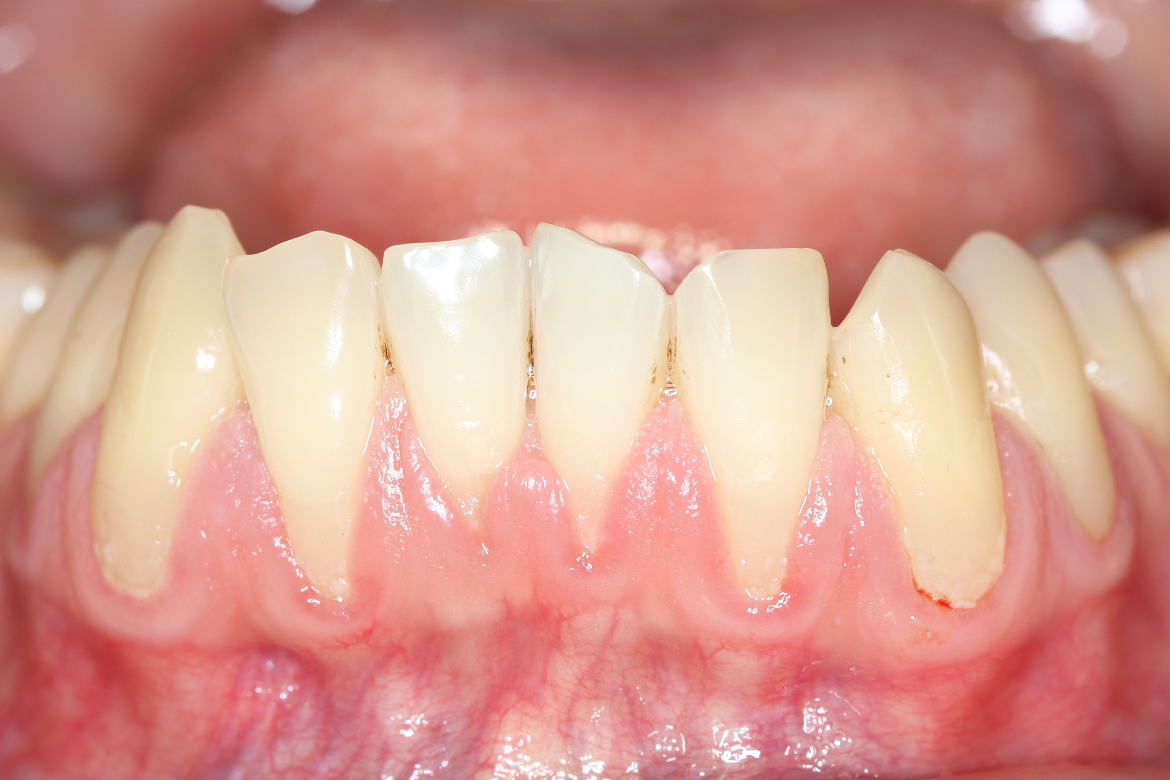
Patient recall rates at five and 10 years were 89% and 67%, respectively. On average, technical complications were resolved in 1.5 appointments, while biological issues required 1.3 appointments. Each dental hygiene session was scheduled for 60 minutes, with an average of 77 minutes per year spent on regular maintenance over 10 years.
Technical complications occurred in 39.5% of patients, with screw loosening being the most common (43.4%). The most time-consuming technical issues were abutment fractures (94 minutes) and screw fractures (84 minutes). Additionally, peri-implant mucositis affected 30.2% of patients, and peri-implantitis occurred in 9.3%. The average annual maintenance costs were 9% of the initial implant treatment cost, according to the results.
However, the study had limitations, including broad inclusion criteria that included various factors, such as implant location (maxilla, mandible, anterior, and posterior), the authors wrote.
"Patients being treated with dental implants supporting fixed restorations need to be informed about the additional efforts required, including time, appointments, and costs, beyond regular maintenance," they concluded.




















